
ODONTOPEDIATRÍA MADRID
Cuidamos la sonrisa de los más pequeños
En Clínica Dental Dra. Nogal, nuestros especialistas en odontopediatría ofrecen un entorno amable, cálido y adaptado a los niños. Prevenir y tratar a tiempo los problemas dentales en la infancia es clave para una sonrisa sana en la edad adulta.
Odontopediatra en Madrid

Revisiones y selladores dentales
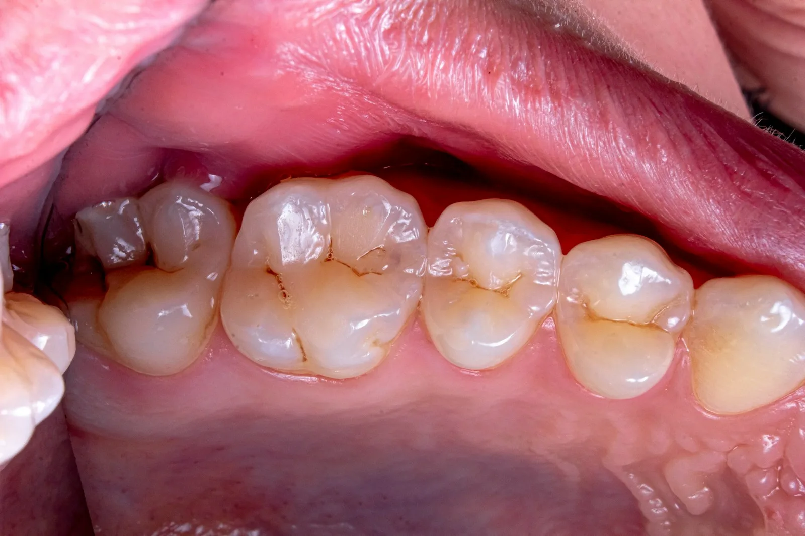
Controlar el crecimiento y prevenir caries es esencial. Aplicamos selladores y flúor tópico de forma indolora para fortalecer los dientes.

Tratamiento de caries infantiles
Las caries también afectan a los dientes de leche, y tratarlas a tiempo evita infecciones y daños en los dientes permanentes.

Ortodoncia infantil preventiva (Ortopedia)
Guiamos el desarrollo correcto de los huesos maxilares mediante aparatos funcionales y revisiones periódicas, evitando problemas futuros.
Odontólogo Niños Madrid
Opiniones
Instalaciones
Ya puedes solicitar tu cita
Financiar tus tratamientos


Preguntas frecuentes sobre odontopediatría
Se recomienda una primera revisión hacia los 2-3 años, o al salir los primeros molares.
En Clínica Nogal contamos con especialistas acostumbrados a tratar con niños, explicando cada paso de forma divertida y tranquilizadora.
Puede afectar el espacio para el diente definitivo, por lo que valoramos colocar un mantenedor para evitar desplazamientos.
